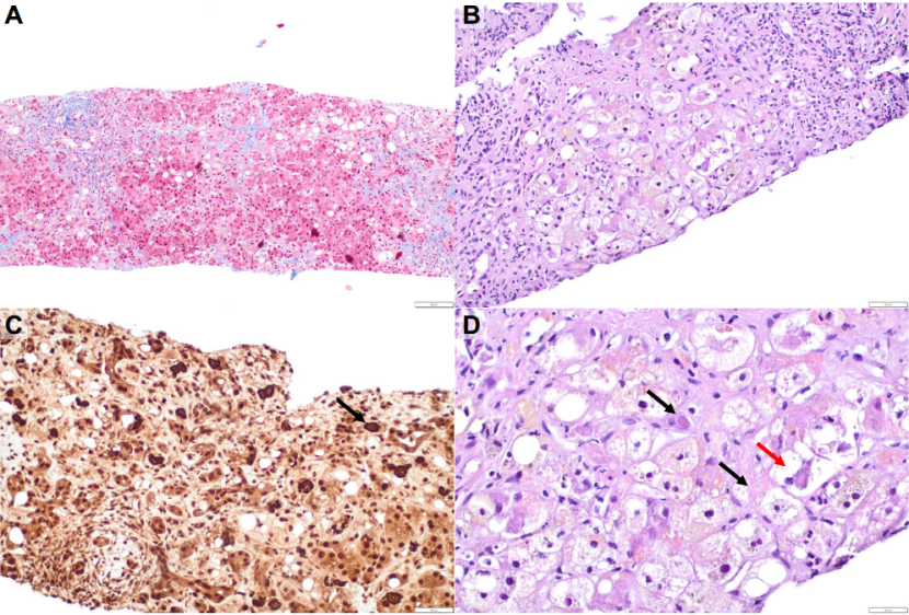
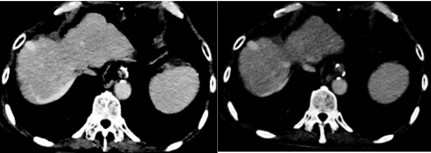
- 药物性肝损伤有何特点?警惕这些药物和危险因素 | 临床必备 本文总结了DILI的危险因素及临床特征和治疗要点。……
- 丙型肝炎病毒标志物检测,专家共识建议一览! 近期,《丙型肝炎病毒标志物检测与临床应用专家共识(2025版)》发布,旨在通过对HCV标志物的检测和临床应用进行系统的证据总结和要点推荐,指导其规范、合理的临床应用,从而提高丙型肝炎的筛查率和诊断率。……
- 6万人大样本研究:健康饮食与运动可降低酒精相关肝脏死亡风险|前沿速递 近期,发表于Journal of Hepatology(IF:33.0)的一项研究评估了酒精摄入量(包括日均饮酒量和暴饮饮酒量)对肝脏相关死亡率的影响;以及PA和DQ对成人的酒精相关肝死亡风险。……
- 吴超教授:有关隐匿性乙型肝炎病毒感染的讨论和思考 医脉通特邀南京大学医学院附属鼓楼医院吴超教授为我们分享隐匿性乙型肝炎病毒感染的特点与思考。……
- 胡鹏教授:风湿免疫性疾病合并HBV感染的管理策略 医脉通特邀重庆医科大学附属第二医院胡鹏教授分享风湿免疫性疾病合并乙型肝炎病毒(HBV)感染的管理策略。……
- 林炳亮教授:聚焦乙肝临床治愈,直面基层诊疗痛点 医脉通整理报道,感谢林炳亮教授审核指导。 2025年9月4-6日,由中华医学会、中华医学会感染病学分会和肝病学分会联合主办的“中华医学会第二十二次病毒性肝炎及肝病学术会议暨2025年中华医学会感染病学分会年会、中华医学会肝病学分会年会”在山东省青岛市召开。作为国内感染性疾病及肝病领域水平极高的学术盛会,吸引国内外著名学者汇聚一堂,共话感染性疾病、病毒性肝炎及肝病研究的最新进展及热点问题。值此会议之……